Fracture de l’extrémité supérieure de l’humérus : explications simples pour les patients
SOS ÉPAULE : une consultation proposée sous 24H,
QU’EST-CE QU’UNE FRACTURE DE L’HUMÉRUS PRÈS DE L’ÉPAULE ?
L’épaule est une articulation très mobile composée de plusieurs parties. La partie haute du bras, appelée tête de l’humérus, s’articule avec l’omoplate.
Lors d’une chute sur le bras ou directement sur l’épaule, cette zone peut se casser : c’est ce qu’on appelle une fracture de l’extrémité supérieure de l’humérus.
Cette zone est importante car les tendons de la coiffe des rotateurs, qui permettent les mouvements de l’épaule, s’attachent dessus.
POURQUOI CETTE FRACTURE ARRIVE-T-ELLE ?
- Avant 60 ans : souvent après un traumatisme violent (chute à vélo, ski, accident de la route…).
- Après 60 ans : souvent après une simple chute de sa hauteur, favorisée par l’ostéoporose.
QUELS SONT LES SYMPTÔMES ?
Les signes les plus fréquents sont :
- Douleur intense de l’épaule
- Impossibilité de bouger le bras
- Bleu (ecchymose), hématome autour de l’épaule, qui descend parfois vers le coude dans les jours suivants
- Attitude typique du bras immobilisé contre le corps
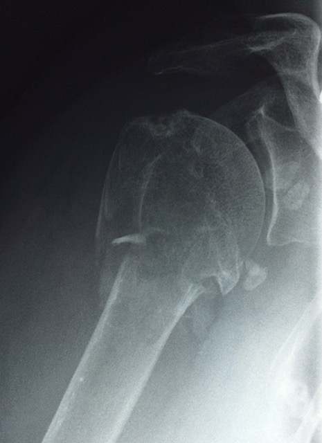
COMMENT FAIT-ON LE DIAGNOSTIC ?
- Radiographies systématiques
- Scanner si nécessaire pour mieux comprendre le type de fracture et choisir le bon traitement
QUELS SONT LES TRAITEMENTS À LANGON, BORDEAUX , EN GIRONDE ?
Le traitement non chirurgical (orthopédique)
C’est le plus fréquent. Il consiste à :
- Immobiliser le bras avec une écharpe coude au corps
- Faire une radiographie de contrôle pour vérifier que la fracture ne bouge pas
- Donner un traitement antidouleur
- Débuter la kinésithérapie après 3 semaines d’immobilisation
Le médecin effectue un suivi clinique et radiologique pour vérifier la bonne consolidation.
Le traitement chirurgical à Langon, Bordeaux, en Gironde ?
Il est proposé lorsque :
- La fracture est déplacée
- La stabilité ou la mobilité future de l’épaule est menacée
- Les tendons, le cartilage ou l’articulation sont atteints
Deux techniques sont possibles :
- Ostéosynthèse : réduction, puis fixation par plaque et vis ou un enclouage centromédullaire
- Prothèse d’épaule avec réinsertion des tendons et tubérosités lorsque la reconstruction n’est pas possible
L’intervention se fait sous anesthésie générale associée à un bloc nerveux qui supprime la douleur pendant plusieurs heures.
RÉÉDUCATION ET REPRISE DES ACTIVITÉS
La kinésithérapie est essentielle pour retrouver la mobilité puis la force.
La durée habituelle :
- 3 à 6 mois de rééducation régulière
- Conduite : environ 2 mois et demi
- Travail : dépend du métier ; plus long pour les travailleurs manuels
- Sport : pas avant 4 à 6 mois
QUELLES SONT LES COMPLICATIONS POSSIBLES ?
Elles restent rares mais doivent être connues :
- Hématome (risque augmenté par la prise d’anticoagulants et anti agrégeants plaquettaires)
- Problèmes de cicatrisation ou infection (risque augmenté par le tabac, diabète)
- Algodystrophie : douleur et raideur prolongées
- Capsulite rétractile : épaule raide pendant plusieurs mois
- Atteinte nerveuse (surtout nerf axillaire), par étirement, le plus souvent réversible
- Absence de consolidation osseuse (pseudarthrose)
- Nécrose de la tête humérale : peut nécessiter une prothèse secondairement
FAQ – QUESTIONS FRÉQUENTES DES PATIENTS
Combien de temps met une fracture de l’humérus à guérir ?
En général 3 à 4 mois, avec rééducation.
Est-ce que la douleur est normale ?
Oui, surtout les premières semaines.
Pourrai-je bouger mon bras normalement ?
La plupart des patients récupèrent bien grâce à la kinésithérapie. Mais la fracture articulaire reste grave au plan fonctionnel.
Faut-il forcément opérer ?
Non. La majorité des fractures ne nécessitent pas de chirurgie.




